ورم بالفص الامامي بقاع الجمجمة

ورم بالفص الامامي بقاع الجمجمة

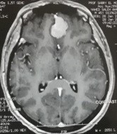
صورة فحص رنين مغناطيسي بالصبغة علي المخ لورم سحائي بالحجرة الامامية بقاع الجمجمة  قبل وبعد اجراء جراحة ميكروسكوبية  ناجحة لاستئصالة .