101 - St. 9 in front of the National Bank - next to Maadi Metro Station - Cairo
غلق
+201006707137 info@dr-ramadanshamseldien.com
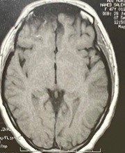
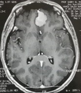
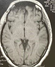
ورم بقاع الجمجمة بالفص الامامي

frontal lobe basement tumor

An image of magnetic resonance imaging with dye on the brain of a meningioma in the anterior chamber at the base of the skull before and after successful microscopic surgery to remove it.