101 - St. 9 in front of the National Bank - next to Maadi Metro Station - Cairo
info@dr-ramadanshamseldien.com
+201006707137
Arabic
Home
About Us
Services
Videos
Medical Blogs
Researches
Instructions
Contact Us
غلق
Home
About Us
Services
Videos
Medical Blogs
Researches
Instructions
Contact Us
+201006707137
info@dr-ramadanshamseldien.com
brain surgeries
brain surgeries
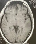
hemorrhage in the left hemisphere of the brain extending to the ventricles of the brain
المزيد
skull tumor compressing the right optic nerve
المزيد
frontal lobe basement tumor
المزيد
meningioma in the right frontal lobe of the brain
المزيد
left temporal lobe meningioma
المزيد
large meningioma at the base of the skull on the left temporal side
المزيد
cPA is a tumor in the posterior chamber of the brain affecting the balance nerve
المزيد
medulloblastoma A tumor in the posterior chamber of the brain
المزيد
sphenoidal meningioma
المزيد
fibroplasia of bone disease in a twenty-one-year-old girl
المزيد
tumor of the frontal lobe at the base of the skull
المزيد
tumor of the base of the skull pressing on the right optic nerve
المزيد
meningioma of the right lobe of the brain
المزيد
massive meningioma at the base of the skull on the left side of the temporal lobe
المزيد
All Rights Reserved Dr Ramadan, Developed and Designed by
Be Group