101 - St. 9 in front of the National Bank - next to Maadi Metro Station - Cairo
غلق
+201006707137 info@dr-ramadanshamseldien.com
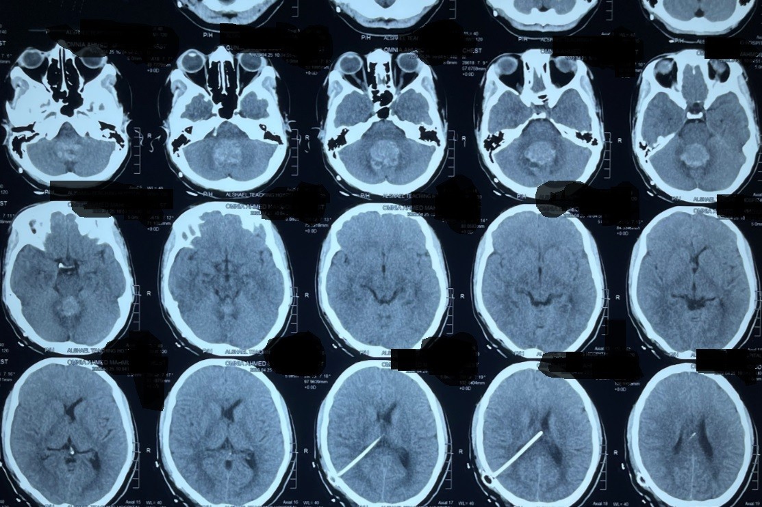
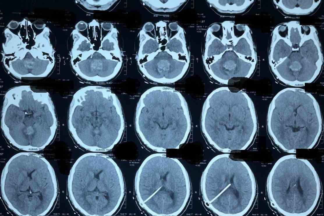
medulloblastomaورم بالحجرة الخلفية بالمخ

medulloblastoma A tumor in the posterior chamber of the brain

A successful precise surgery was performed to remove a tumor from the posterior cranial fossa, the area containing the cerebellum and brainstem. This region controls balance, motor coordination, and basic vital functions.

Key Symptoms of the Condition:

  • Chronic and persistent headache

  • Dizziness and balance disorders

  • Difficulty walking and motor coordination

  • Frequent nausea and vomiting

  • Vision disturbances

Goal of the Surgery:

  • Removing tumor from posterior cranial fossa

  • Preserving vital neurological functions

  • Relieving pressure on brainstem and cerebellum

  • Restoring balance and motor coordination

Advantages of the Procedure:

  • Use of advanced neuro-navigation systems

  • Intraoperative neural monitoring techniques

  • Surgical microscope for high precision

  • Preservation of surrounding healthy tissue

Recovery and Follow-up Period:

  • Intensive care for 2-3 days post-surgery

  • Specialized rehabilitation for balance and walking

  • Gradual symptom improvement within first weeks

  • Periodic MRI follow-up

  • Progressive return to daily activities within 4-8 weeks