101 - St. 9 in front of the National Bank - next to Maadi Metro Station - Cairo
غلق
+201006707137 info@dr-ramadanshamseldien.com
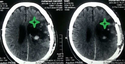
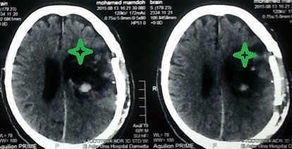
نزيف بالنصف الكروي الايسر بالمخ ممتد لبطينات المخ

hemorrhage in the left hemisphere of the brain extending to the ventricles of the brain

A case of a patient in the sixth decade of life suffering from chronic high blood pressure who had a sudden deterioration in the degree of consciousness with hemispheric weakness. By doing a CT scan on the brain, he found severe bleeding in the left hemisphere of the brain, extending to the ventricles of the brain. A successful microscopic surgery was performed to empty the bleeding, after which the patient returned to his normal state.