101 - St. 9 in front of the National Bank - next to Maadi Metro Station - Cairo
غلق
+201006707137 info@dr-ramadanshamseldien.com
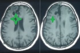
ورم سحائي بالفص الامامي الايمن بالمخ

meningioma in the right frontal lobe of the brain

A transverse view of an MRI scan of a 63-year-old patient suffering from epileptic seizures and weakness on the left side of the body showing a cystic meningioma in the right frontal lobe of the brain shaded in red. And the rays after excision with a microscopic surgery, where he completely disappeared, shaded in green. The pictures during surgery also show the solid part that was completely removed and the location of the tumor in the brain, as the brain after removing the hard part and emptying the cyst around it is completely intact. The patient has fully recovered after the surgery and is living his life normally.