101 - St. 9 in front of the National Bank - next to Maadi Metro Station - Cairo
info@dr-ramadanshamseldien.com
+201006707137
Arabic
Home
About Us
Services
Videos
Medical Blogs
Researches
Instructions
Contact Us
غلق
Home
About Us
Services
Videos
Medical Blogs
Researches
Instructions
Contact Us
+201006707137
info@dr-ramadanshamseldien.com
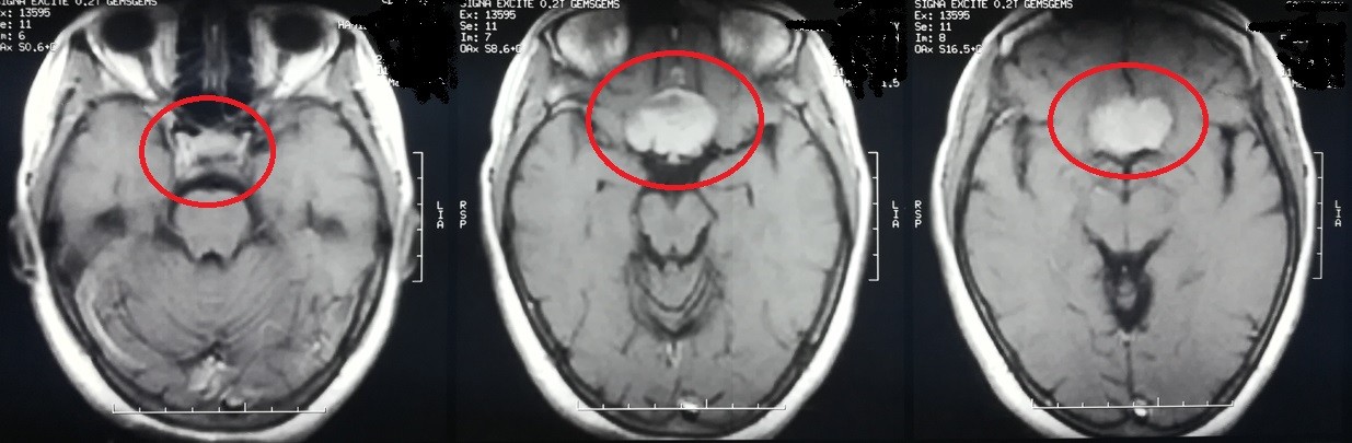
sphenoidal meningioma
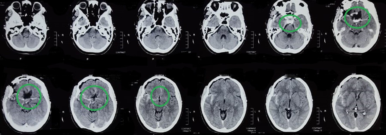
sphenoidal meningioma
+
+
+
Related Services
peripheral nerves
pediatric neurosurgery
spine surgeries
brain surgeries
Contact Us
Send
All Rights Reserved Dr Ramadan, Developed and Designed by
Be Group