101 - St. 9 in front of the National Bank - next to Maadi Metro Station - Cairo
غلق
+201006707137 info@dr-ramadanshamseldien.com
جراحة تقويمية لراس مثلثة في طفل عمر شهرين

orthognathic surgery for a triangular head in a two-month-old child

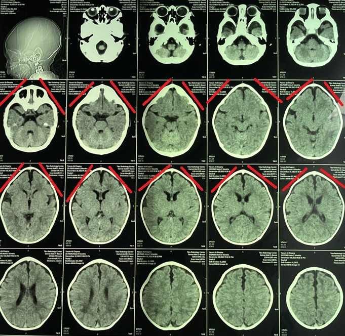
Trigonocephaly Correction Surgery in a Two-Month-Old Infant

A successful cranial correction surgery was performed on a two-month-old infant suffering from trigonocephaly, a condition characterized by a triangular-shaped head. This type of cranial deformity results in a triangular head appearance with a prominent forehead ridge. The goal of the surgery was to correct the skull shape to ensure normal brain development and protect the child from future complications.

Key Symptoms of the Condition

  • Abnormal triangular skull shape
  • Prominent bony ridge in the forehead
  • Noticeable asymmetry in head shape

Goal of the Surgery

  • Reshaping cranial bones to correct triangular form
  • Removing prominent forehead bony ridge
  • Providing adequate space for normal brain growth
  • Preventing future developmental complications

Advantages of the Procedure

  • Use of latest safe surgical techniques for infants
  • Comprehensive approach with multidisciplinary team
  • Precise pre-operative planning using 3D imaging

Recovery and Follow-up Period

  • Rapid recovery due to infant's young age
  • Regular follow-up to monitor healing progress
  • Normal head growth post-surgery
  • Sustainable positive long-term outcomes