101 - St. 9 in front of the National Bank - next to Maadi Metro Station - Cairo
غلق
+201006707137 info@dr-ramadanshamseldien.com
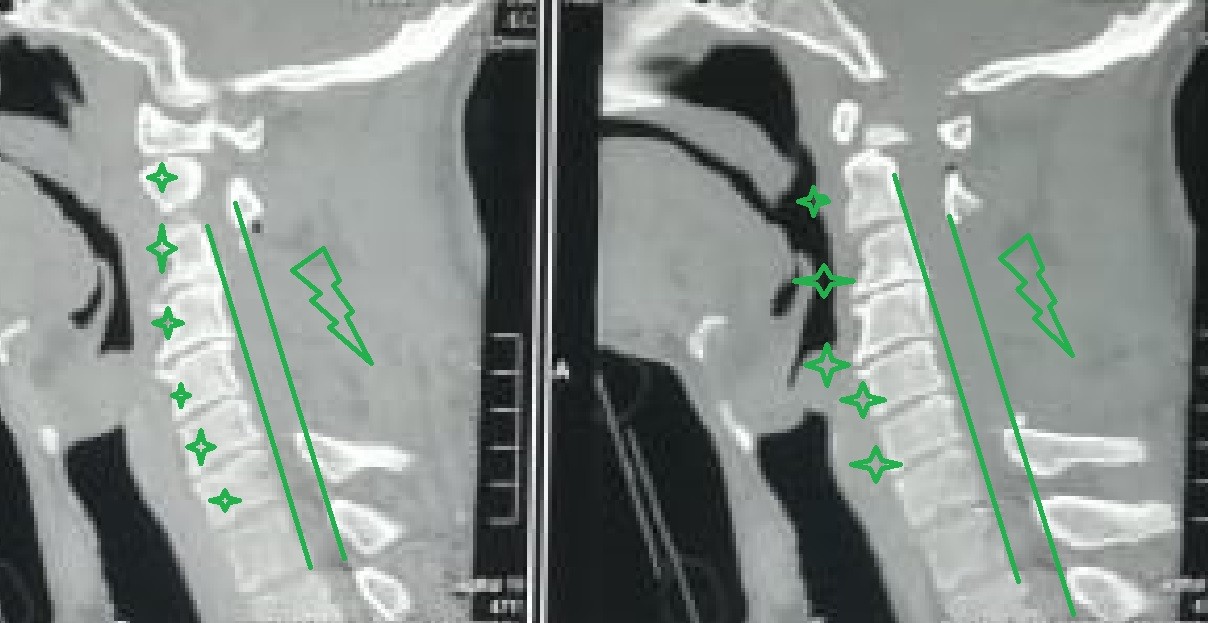
توسيع ضيق بالقناة العصبية العنقية

widen narrowing of the cervical nerve canal

A successful surgery was performed to decompress a narrowed cervical spinal canal. This condition occurs when the spinal canal in the neck area narrows, causing pressure on the spinal cord and nerves supplying the arms and hands.

Key Symptoms of the Condition

  • Chronic neck and shoulder pain
  • Numbness or tingling in arms and hands
  • Weakness in arm or hand muscles
  • Difficulty walking or loss of balance
  • Weakness in hand grip and difficulty holding objects
  • Loss of precision in finger movements

Goal of the Surgery

  • Expanding the narrowed spinal canal in cervical vertebrae
  • Relieving pressure on spinal cord and nerves
  • Restoring normal neurological function
  • Improving muscle strength and sensation in limbs
  • Preventing progression of neurological weakness

Advantages of the Procedure

  • Use of precise surgical techniques
  • Safe approach to access spinal canal
  • Preservation of cervical spine stability
  • Reduced risk to neural tissues
  • Accurate preoperative planning using advanced imaging

Recovery and Follow-up Period

  • Postoperative care for 1-2 days in hospital
  • Limited use of cervical collar
  • Specialized rehabilitation program for neck and arms
  • Gradual improvement in symptoms within first weeks
  • Progressive return to daily activities within 4-6 weeks
  • Periodic follow-up to assess neurological improvement